هیدروژل های جدید نوید بخش درمان نقایص استخوان هستند.
پس از تزریق در یک مدل موش، هیدروژل جدید نشان می دهد که مهاجرت سلولهای بنیادی طبیعی را به وجود می آورد تا بتواند بهبودی در استخوانها را ارتقا دهد. کاربردهای آزمایشی فعلی با استفاده از هیدروژل ها و سلولهای بنیادی درون بدن یا عوامل بیولوژیکی گران قیمت می توانند با عوارض جانبی منفی همراه شوند.
این یافته ها ، که در مجله Nature Communications به صورت آنلاین منتشر شده است، نشان می دهد که در آینده ای نزدیک نسل بعدی سیستم های هیدروژل می توانند تا حد زیادی روشهای درمانی فعلی مبتنی بر بیومواد را برای ترمیم نقص استخوان بهبود بخشند.
هیدروژل ها مواد بیولوژیکی هستند که از شبکه 3 بعدی زنجیره های پلیمری تشکیل شده اند. با توجه به توانایی شبکه در جذب آب و شباهت های ساختاری آن با بافت زنده، می توان از آن برای انتقال سلول ها به مناطق معیوب برای بازسازی بافت از دست رفته استفاده کرد. با این حال، اندازه منافذ کوچک هیدروژلها بقای سلولهای پیوند شده، گسترش آنها و تشکیل بافت جدید را محدود می کند و این باعث می شود که این ماده برای احیاء بافت کمتر از حد ایده آل باشد.
ماده ای که در زمینه مواد بیولوژیکی به آن دامن زده است مواد معدنی طبیعی، خاک رس است. رس به عنوان یک ماده افزودنی ایده آل برای محصولات پزشکی بدون عوارض منفی گزارش شده است. نشان داده شده است که زیست سازگار است و به راحتی در دسترس است.
رس به صورت لایه ای ساخته می شود و سطح آن بار منفی دارد. ساختار و بار لایه ای منحصر به فرد برای محققان مهم بود زیرا هیدروژل های آنها بار مثبت یا مخالف داشتند. هنگامی که هیدروژل به لایه های رس اضافه شد، از طریق فرآیندی به نام شیمی بینابینی، نتیجه نهایی یک هیدروژل تقویت شده از خاک رس با یک ساختار بسیار متخلخل تر بود که می تواند تشکیل استخوان را بهتر تسهیل کند.

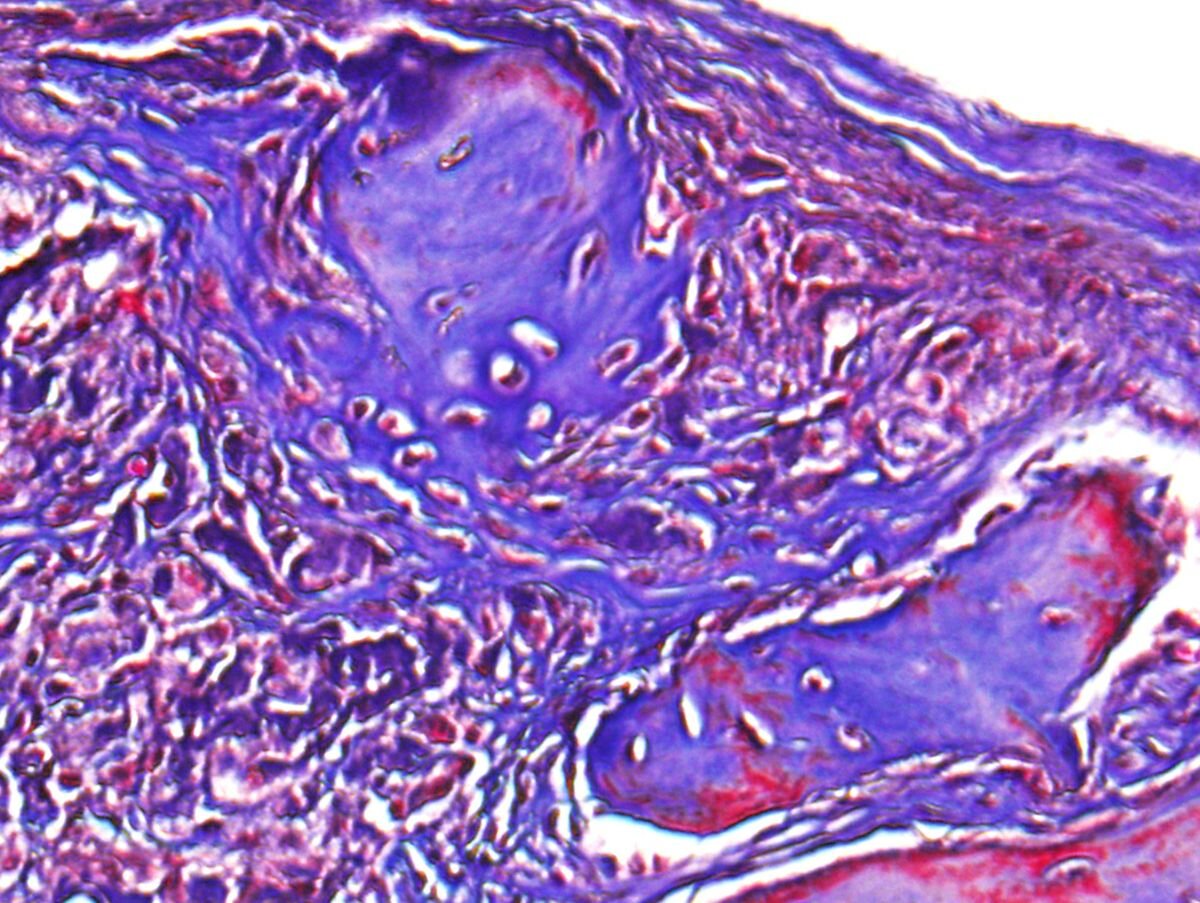
یک تصویر میکروسکوپی از استخوان بازسازی شده در نقص جمجمه در موش. اعتبار: دانشگاه کالیفرنیا، لس آنجلس
محققان هنگامی که هیدروژل تقویت شده با خاک رس خود را داشتند، از روشی به نام القایی عکس یا ورود نور استفاده کردند تا ماده بیولوژیکی جدید خود را به ژل تبدیل کنند که این امر باعث می شود تزریق راحت تر در مدل موش آنها انجام شود.
مدل موش دارای نقص جمجمه غیر شفابخش بود که محققان هیدروژل تقویت شده خاک رس خود را تزریق کردند. پس از شش هفته، آنها دریافتند که این مدل بهبودی استخوان را از طریق مهاجرت و رشد سلولهای بنیادی طبیعی خود نشان می دهد.
"مین لی"، نویسنده اصلی، استاد علوم مواد زیستی در دانشکده دندانپزشکی UCLA و عضو مرکز جامع سرطان جانسون گفت: "این تحقیق به ما در توسعه نسل بعدی سیستم های هیدروژل با تخلخل بالا کمک می کند و می تواند مواد فعلی پیوند استخوان را بهبود ببخشد."
"سیستم هیدروژل نانو کامپوزیت ما برای بسیاری از کاربردها از جمله زایمان درمانی، حامل سلول و مهندسی بافت مفید خواهد بود."
ترکیبات تزریقی سلولهای زنده و مولکولهای فعال زیستی با استفاده از هیدروژلها یک روش پزشکی ارجح برای درمان نواحی ناسالم یا آسیب دیده بدن به جای جراحی تهاجمی تر است.
تحقیقات آینده به یادگیری چگونگی تأثیر خواص فیزیکی هیدروژلهای نانوکامپوزیت بر مهاجرت سلولها و عملکرد آنها و همچنین تشکیل رگهای خونی تأثیر گذاشته است.
منبع:
دانشگاه کالیفرنیا، لس آنجلس